건강상담
본문
발목이 아파요
- · 작성일 2017-10-17 18:02
- · 정형성형
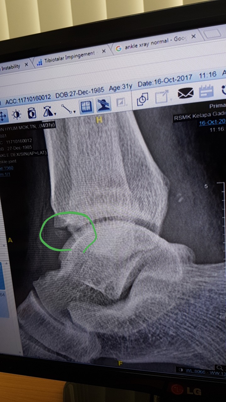
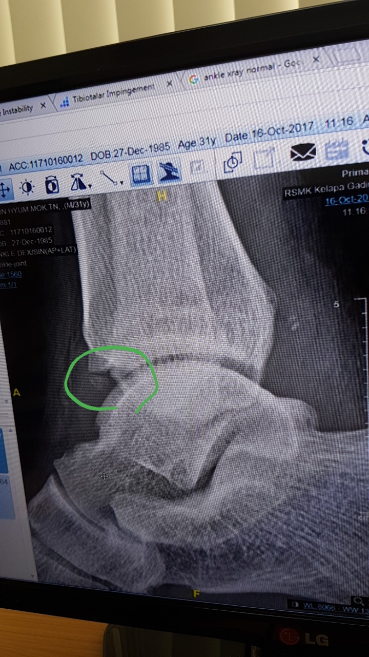
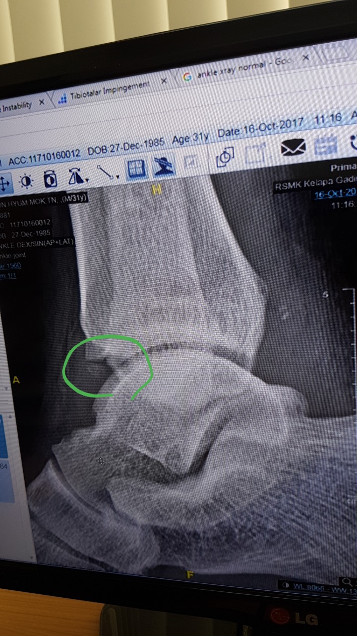
안녕하세요저는 인도네시아에서 현재 근무를 하고 있습니다.다름이아니라 2주전에 운전을 오래하고 골프를 치고 난 후 그다음부터 오른 발목이 시큰시큰 아프더니 결국 붓기가 올라 아직도 붓기가 빠지지 않고 있습니다.그리하여 한의원도 가보고 진통소염제 등 약도 먹어보다 어제 xray를 찍고 검사를 했는데 엑스레이 결과를 보고 Tibiotalar impingement 라고 합니다.수술을 해야한다는데 사실 외국이라 의학용어를 정확하게 몰라 다시한번 여쭙고자 합니다.필요시 한국에서 검사하고 수술할생각도 있어 한번 확인 부탁 드립니다아래의 사진에 동그라미 친부분을 제거해야한다는데 부탁드립니다어떤 수술을 해야하며 얼마나 걸릴까요 ? 제가 외국에서 근무를 해서 휴가기간을 정해야합니다.빠른답변 기다리겠습니다. ㅇ
- 조회 3,078
- IP ○.○.○.○
첨부파일
-
사용자 등록 이미지 |
286.0K
|
497 Download(s)
-
사용자 등록 이미지 |
286.0K
|
501 Download(s)
홍보과 에서 2017-10-20 08:16:00에 답변한 내용입니다.

